Uşak Ortodonti

 

Sık Rastlanan Ortodontik Problemler

çapraz kapanış
Çapraz kapanış

Üst dişler alt dişleri, hem arka bölgede hem de ön bölgede bir kutu kapağı gibi sarmalıdır. Eğer üst çene darsa alt çene sıklıkla dişlerin daha iyi temasını sağlayabilmek için yana kayarak hatalı kapanış oluşturur. Darlığın şiddetine bağlı olarak tek ya da çift tarafta çapraz kapanış görülebilir.

diş çapraşıklığı

Çapraşıklık

Çapraşıklık sık rastlanan bir problemdir. Çenelerde dişler için yeterli yer olmadığında çapraşıklık görülür. Çapraşık dişler estetik görünümü etkilediği gibi temizlenmeleri de çok güç olmaktadır.

açık kapanış

Açık kapanış

Arka bölge dişleri temas etmesine rağmen ön bölgede açıklık kalmasıdır. Isırma ve telaffuz güçlüğüne ek olarak estetik olmayan bir görünüşe sebep olur.

ön ileri itim

Aşırı öne itimli dişler/aşırı önde üst çene

Aşırı öne eğimli dişler kötü görüntüye sebep olduğu gibi düşme-çarpma gibi durumlarda hasar görme olasılıkları yüksektir. Alt kesici dişler sıklıkla aşırı uzamıştır, üst ön dişlerin arkasında ki diş etiyle temas eder ve tahrişe sebep olur.

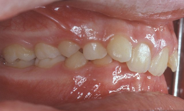
ters kapanış

Ters kapanış/ön çapraz kapanış/aşırı önde alt çene/yetersiz üst çene gelişimi

Alt ön dişler üst dişlerden daha önde konumlanmıştır. Ters kapanış estetik olmayan bir görünüme, ön dişlerde aşınmaya ve dişleri saran komşu dokularda harabiyete sebep olabilir.

parmak emme alışkanlığı

Parmak emme/dil itme/kalem ısırma alışkanlığı

Parmak emme, dil itme, kalem ısırma gibi zararlı alışkanlıklar dişlerde ve onları çevreleyen dokularda zamanla tedavisi güçleşen bozukluklara sebep olabilir.

derin örtülü kapanış

Derin/örtülü kapanış

Üst ön dişler alt dişleri tamamen örter. Dişlerde aşınmaya, çevre dokularda harabiyete sebep olabilir.

doğuştan eksik diş

Doğuştan diş eksikliği

Eksik diş boşluğu, hoş olmayan bir görüntüye sebep olur. Tüm dişlerin doğru pozisyonlarına hareket ettirilmesiyle, eksik dişin kaybolan boşluğu tekrar oluşturularak, protetik restorasyona imkan sağlanır.

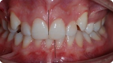
orta hat uyumsuzluğu

Orta Hat Uyumsuzluğu

Üst orta hat ile alt orta hat uyumsuzdur. Arka bölgede kapanış bozukluğu mevcuttur. Fonksiyon ve estetik etkilenir.

Diğer Problemler

Ek olarak aşağıdaki durumlarda da ortodontik fikir alınması uygun olacaktır;

  • Çiğneme ve ısırmada güçlük
  • Telafuz güçlüğü/bazı  seslerin düzgün çıkartılamaması
  • Diş gıcırdatma-çenelerin kilitlenmesi
  • Alt çenede yana kayıklık ya da eklem seslerinin mevcudiyeti
  • Dudak-damak yarıkları

 

 

 

 

Klinik
Dr.Hüseyin Naci Canbuldu
ÇalışmaSaatleri-Adres-Kroki
Randevu

Ortodontik Tedavi
Erken Ortodontik Tedavi
Çocuk ve Gençlerde tedavi
Yetişkinlerde ortodontik tedavi
Braket çeşitleri
Ortodontide diş çekimi
Hızlı üst çene genişletmesi
Ortognatik cerrahi
Ortodontinin faydaları
Pekiştirme dönemi
Sık rastlanan problemler
Öncesi sonrası
Foto galeri
Video galeri

Yeni Hastalar için
Neden Ortodontist?
Tedavi oldum da ne oldu?
İlk randevu
Tedavi İhtiyacı
Ortodontide acil durumlar
Ödeme seçenekleri
Sık sorulan sorular
Kaçınılacak besinler
Ağız bakımı
Randevu talebi
Tıbbi Bilgi Formu
İletişim formu
Ortodonti Sözlüğü
Tavsiye et-Doktorlar için
Tavsiye et-Hastalarımız için

Yeni Teknolojiler
Incognito ve lingual ortodonti
Insignia
Invisalign
Damon sistemi
In-ovation
Geçici ankraj apareyleri
Yumuşak doku lazeri
Smartclip
Ice
Zoom

Eğlence
Renk seçimi
Oyunlar

İletişim
İletişim bilgileri ve kroki
Randevu talebi
İletişim formu
Tavsiye et-Doktorlar için
Tavsiye et-Hastalarımız için
Copyright © 2013   ORTODONTİST DR. Hüseyin Naci CANBULDU