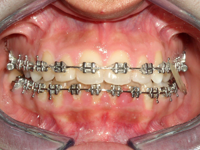
Metal braketler en sık kullanılan tiptir. Yüksek kalitede paslanmaz çelikten imal edilirler. Günümüzde kullanılan metal braketler daha rahat ve daha çekici görünümlüdür.


Farklı bir gülümseme elde etmek için metal braketlerle renkli elastikleri kombine etme imkanına sahipsiniz.

Estetik Braketler:



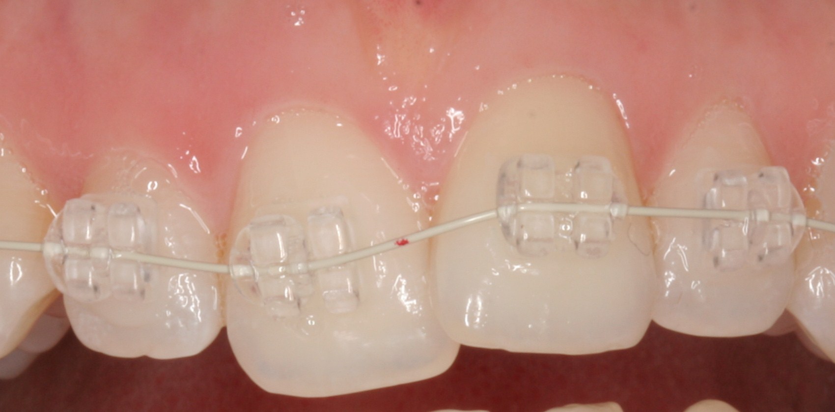
Estetik braketler ışığı geçirgen özellikteki seramik ya da kristalize plastik gibi estetik materyallerden imal edilirler. Metal braketlere oranla daha az dikkat çekerler bu sebeple, seramik braketler temel olarak estetik kaygıya sahip genç erişkinler ve daha ileri yaştaki hastalar tarafından tercih edilmektedirler.
Seramik braketler görsel olarak daha az dikkat çekmekle birlikte daha hacimli oldukları için ağız bakımına daha fazla dikkat gerektirmekte, kırılgan yapıya sahip oldukları için aşırı kuvvetlere maruz kalmamaları gerekmektedir. Bu sebeple, seramik braketler daha ziyade üst ön dişlerde tercih edilmektedir.
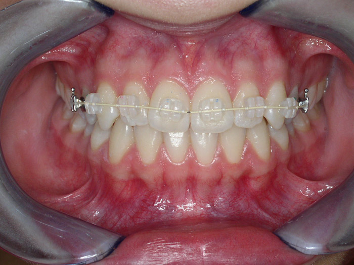
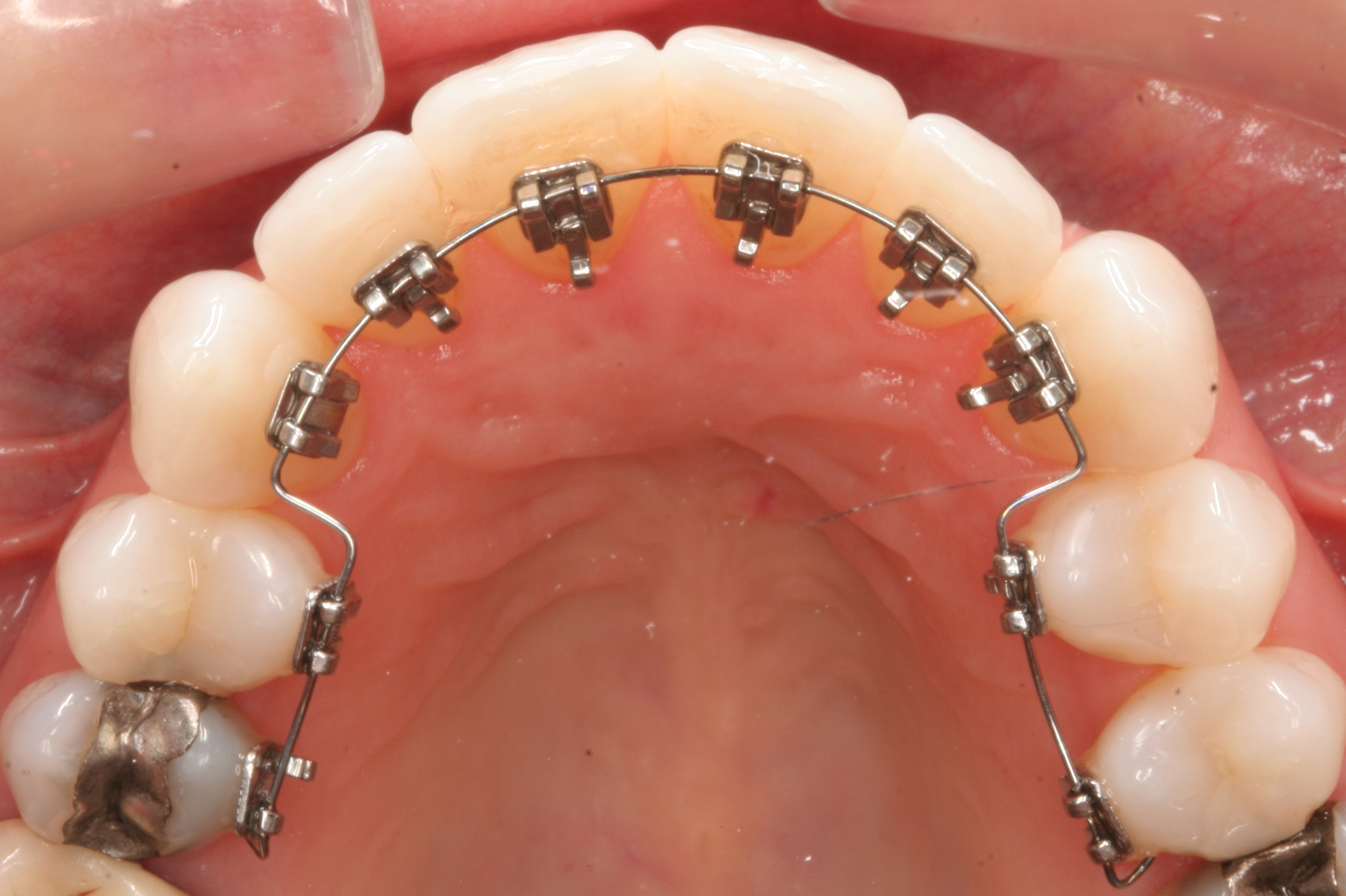
Lingual Braketler:

Lingual braketler dişlerinizin arkasına yapıştırıldığı için siz söylemedikçe kimse braketleriniz olduğunu bilmez. Bu braketler dişlerinizin şekline 100% uygun olacak şekilde size özel olarak tasarlanır ve imal edilir. Lingual braketler atletler, modeller, aktör/aktrisler, müzisyenler ve diğer erişkin profesyoneller için cazip bir seçenektir.
Altın Braketler :
24 ayar altınla kaplı paslanmaz çelik braketlerdir. Altın kaplama geleneksel metal braketlere göre daha kozmetik bir seçenek olarak düşünülebilir. Fiyatları ise şaşırtıcı şekilde çoğu estetik braketle benzerlik göstermektedir.