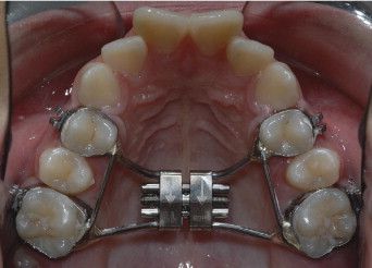
ÜST ÇENE GENİŞLETMESİ
Üst çene genişletme apareyi hasta yakını tarafından düzenli olarak yapılan bir ayarlama ile oluşturulan ideal şiddetteki basıncın üst azı dişleriniz vasıtasıyla kemiklerinize iletilmesiyle üst çenenizde ''kemiksel bazda'' genişleme sağlamaktadır. Aşağıdaki animasyonda genişletme uygulamasının nasıl yapılması gerektiğini görebilirsiniz. Yeterli genişleme sağlandıktan sonra, geri daralmanın önlenmesi ve genişletmenin pekiştirilmesi amacıyla aparey bir süre daha kullanılmaktadır.
Aşama 1
İyi aydınlatılmış bir ortamda, hastanın başını iyi desteklenecek şekilde konumlandırın.
Aşama 2
Vida anahtarının ucunu vida deliğine muntazam şekilde yerleştiğinden emin olun.
Aşama 3
Anahtarı, geri istikamette ittiğinizde vidanın orta kısmının döndüğünü anahtarı yerleştirdiğiniz deliğin olduğu yerde yeni bir deliğin göründüğünü farkedeceksiniz. Döndürmeye, anahtar vidanın arka sınırına yaslandığında=yeni ortaya çıkan delik tam yuvarlak olarak göründüğünde son verebillirsiniz.
Aşama 4
Anahtarın ucunu, olduğu yerde vidayı geri çevirmeden dile doğru hafif bastırarak çıkartmalı, yeni ortaya çıkan deliğin tam yuvarlak olarak göründüğünden emin olmalısınız.

Üst çene genişletme apareyi-vida çevirme videosu için tıklayınız »
|