Uşak Ortodonti

 

ortognatik panaromik

ortognatik cerrahi model

ortognatik cerrahi 5

ORTOGNATİK TEDAVİ
(Ortodontik Tedavi+Çene Cerrahisi)

 

Ortognatik Cerrahi

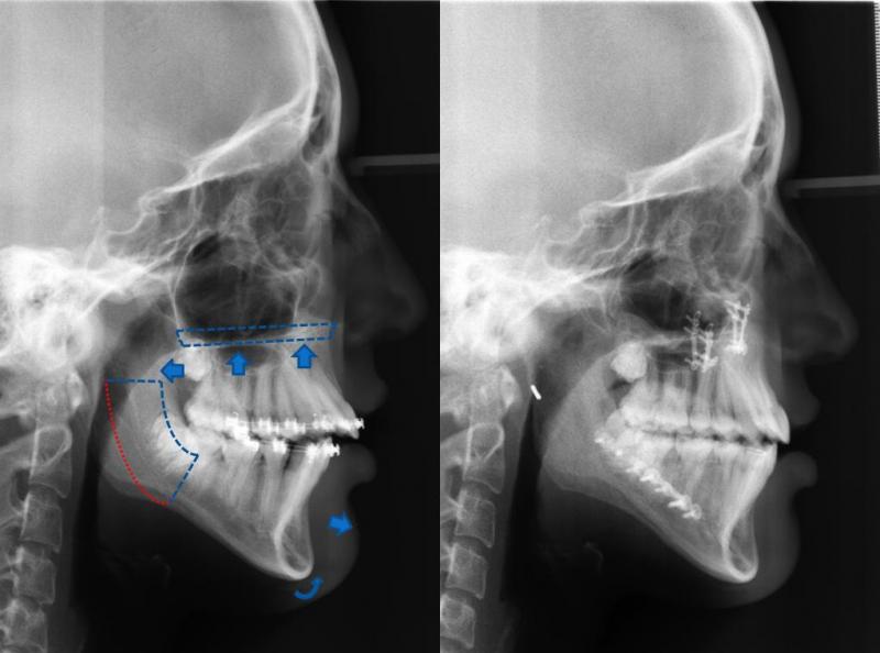
Ortodontiyle dişlerin yeniden konumlandırılması mümkün olduğu gibi ortognatik cerrahi ile de büyüme gelişimlerini tamamlamış erişkin hastalarda ki çene uyumsuzlukları düzeltilebilmekte, çiğneme, konuşma, soluk alma fonksiyonları iyileştirildiği gibi yüz görünümü de güzelleştirilebilmektedir.

                                         

Ortognatik tedaviye kimler ihtiyaç duymaktadır?

Çene gelişimi genellikle kızlarda 17, erkeklerde 18 yaş civarında tamamlanmaktadır.Çene cerrahisi tüm gelişim tamamlandıktan sonra uygulanır bununla birlikte cerrahi öncesi diş hareketlerini içeren ortodontik hazırlık aşamasına bu yaşlara 1 yıl kala başlanabilir.

İşleyişi nasıldır?

Cerrahi öncesi 6-18 ay süreyle orthodontik hazırlık aşaması gerekmektedir. Bu aşamada dişlerinizin daha da kötüleştiğini düşünebilirsiniz fakat dişlerinizin konumları çenelerinizin ameliyat sonrasındaki konumlarına göre şekillenmektedir. Cerrahi sonrası çeneleriniz uygun konumlarına getirildiğinde dişlerinizin muntazam ilişkide olduklarını göreceksiniz.

Son görüntüleme teknikleri kullanılarak ortognatik tedavi sonucu kişinin kazanacağı estetik ve fonksiyonel faydalar öngörülebilmektedir. Bilgisayar destekli tedavi planlaması ve diğer teknolojik gelişmeler, cerrahi işlemin etkinliğini artırmakta ve cerrahi sonrası iyileşme sürecini kısaltmaktadır. Böylece hastalar cerrahi sonrası rutin hayatlarına en kısa zamanda dönebilmektedirler.

Cerrahi işlem hastane ortamında, genel anestezi altında, çene cerrahisi uzmanı ve ekibi tarafından gerçekleştirilmekte ve gereken işlemin tipine bağlı olarak birkaç saat sürebilmektedir. İşlem sonrası 2 hafta içinde okul ya da işinize dönebilirsiniz. İşlemden sonra gereken iyileşme süresi sonunda (yaklaşık 4-8 hafta), ortodontistiniz kapanış ilişkinizi mükemmelleştirmek için ortodontik tedavinize devam edecektir. Çoğu vakada, braketleriniz cerrahi sonrası 6-12 ay içinde çıkartılmaktadır.

Ortodontide ki son gelişmeler sayesinde, ortodontik tedaviyle problemin çözülebileceği durumlarda ortognatik cerrahi gerekmeyebilmektedir. Ortodontistiniz, pek çok kriteri göz önüne alıp değerlendirdikten sonra tedavinizin bir parçası olarak ortognatik cerrahiye ihtiyacınızın olup olmadığını size söyleyecektir

Klinik
Dr.Hüseyin Naci Canbuldu
ÇalışmaSaatleri-Adres-Kroki
Randevu

Ortodontik Tedavi
Erken Ortodontik Tedavi
Çocuk ve Gençlerde tedavi
Yetişkinlerde ortodontik tedavi
Braket çeşitleri
Ortodontide diş çekimi
Hızlı üst çene genişletmesi
Ortognatik cerrahi
Ortodontinin faydaları
Pekiştirme dönemi
Sık rastlanan problemler
Öncesi sonrası
Foto galeri
Video galeri

Yeni Hastalar için
Neden Ortodontist?
Tedavi oldum da ne oldu?
İlk randevu
Tedavi İhtiyacı
Ortodontide acil durumlar
Ödeme seçenekleri
Sık sorulan sorular
Kaçınılacak besinler
Ağız bakımı
Randevu talebi
Tıbbi Bilgi Formu
İletişim formu
Ortodonti Sözlüğü
Tavsiye et-Doktorlar için
Tavsiye et-Hastalarımız için

Yeni Teknolojiler
Incognito ve lingual ortodonti
Insignia
Invisalign
Damon sistemi
In-ovation
Geçici ankraj apareyleri
Yumuşak doku lazeri
Smartclip
Ice
Zoom

Eğlence
Renk seçimi
Oyunlar

İletişim
İletişim bilgileri ve kroki
Randevu talebi
İletişim formu
Tavsiye et-Doktorlar için
Tavsiye et-Hastalarımız için
Copyright © 2013   ORTODONTİST DR. Hüseyin Naci CANBULDU